

Crowns and bridges are reliable, long lasting solutions used to restore damaged, weakened or missing teeth. At Grange Green Dental, we provide carefully planned crown and bridge treatments that restore function, comfort and appearance, while blending seamlessly with your natural smile.
Whether a tooth has been weakened by decay, wear or trauma, or you’re looking to replace a missing tooth, crowns and bridges help protect your oral health and prevent further complications, all while maintaining a natural look and feel.

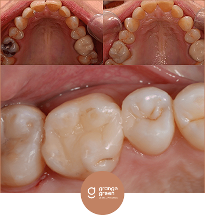
Adental crown is a custom made cap that fits over an existing tooth to restore its shape, strength and appearance. A dental bridge is used to replace one or more missing teeth by anchoring an artificial tooth to neighbouring teeth or crowns.
Crowns and bridges are precision made to fit comfortably and function just like natural teeth.
Every crown or bridge we provide is individually designed to match your natural teeth in shape, colour and bite. Treatment begins with a detailed assessment to ensure the solution is right for your long term oral health.
We work closely with trusted dental laboratories to create restorations that are durable, comfortable and aesthetically pleasing.
We believe patients should always know what to expect. Your treatment journey typically includes:


Your dentist will assess the affected tooth or gap, discuss your concerns and confirm whether a crown or bridge is the most suitable option.


We’ll explain the procedure, materials and timescales, ensuring you feel informed and confident before treatment begins.


The tooth (or teeth) are carefully prepared and impressions taken. Your custom restoration is then created and securely fitted for comfort and function.


We’ll review your bite, comfort and appearance, and provide guidance on caring for your crown or bridge to maximise its lifespan.
Browse our Smile Gallery to explore a range of before-and-after transformations. You’ll see how even small changes can make a big difference.
Yes. Crowns and bridges are well established, safe and effective dental treatments. When properly planned and maintained, they can last many years and help protect surrounding teeth and gums.
As with any dental treatment, good oral hygiene and regular check ups are essential to long term success.

Crowns and bridges offer several key benefits:
Restore strength and function to damaged teeth
Replace missing teeth without removable appliances
Improve comfort when eating and speaking
Maintain the natural shape of your smile
Protect neighbouring teeth from shifting
We use cookies to improve your browsing experience. You can accept all, reject all, or manage your preferences.